Originally posted on 2/4/2020 (reformatted).
Mesothelioma is a disease. The only known cause is exposure to asbestos. Asbestos particles are inhaled or ingested into the body. These particles cause abnormal growth of cells. It is a rare form of cancer that originates in many of the protective linings that cover major organs in the abdomen and chest. Pleural mesothelioma is the most common type of mesothelioma that grows in the area between the chest wall and lungs. From this area it progresses to the lungs itself and other areas in the thoracic cavity. When it occurs in the abdomen it is called peritoneal mesothelioma.1
Anyone can get mesothelioma who has repeated exposure to asbestos for prolonged periods of time.2 Highrisk occupations include motor vehicle brake repair, shipyard workers, navy veterans, power plants, petroleum industry workers, naval submarine bases, insulation workers and people who work in asbestos removal. When asbestos is inhaled fibers travel through the upper air passages and become imbedded in the lungs. The latency period for developing mesothelioma can range from 10 to more than 50 years from the date of first exposure. Many companies knew that exposure to asbestos was dangerous but continued to use asbestos in their products.
MICHIGAN
As of July 2019, Michigan ranks 10thin the United States for mesothelioma & asbestos deaths.https://www.asbestos.com/states/michigan
TEXAS
Texas ranks 4thin the United States for mesothelioma and asbestos deaths. At least 2,454 people died from asbestos-related diseases in Texas between 1999 and 2013. Oil refineries, shipyards, chemical plants and foundries are the primary occupations in Texas attributed to asbestos deaths from mesothelioma and asbestosis.3
NEW YORK
No person in any state or city is immune from contracting asbestos related mesothelioma disease because of the extended use of asbestos materials over the past 100 years. Asbestos was used in buildings as a fire resistant including residential properties. New York is a leading state for asbestos-related litigation compounded by the horrific 911 event releasing asbestos dust.
SYMPTOMS
Diagnosing mesothelioma requires very careful testing because symptoms are similar to other cancers. Tightness in the chest, inability to take a deep breath, severe coughing, difficulty swallowing, pain in the chest, weight loss and persistent tiredness are common complaints but each patient is unique and has different symptoms. Other symptoms are wheezing or a dry cough, chest and abdominal pain and shortness of breath. Symptoms vary based on the location of the disease. Mesothelioma is so rare that your physician may not detect it unless you inform him or her of your exposure to asbestos. Moreover, malignant mesothelioma can develop 10-50 years after exposure, including second hand exposure. Informing your physician of your exposure no matter how sleight is critical. The definitive diagnosis of mesothelioma is confirmed only by a tissue biopsy.
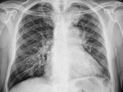
DIAGNOSIS
X-rays can provide valuable information early in the process of diagnosing a patient. A CT scan permits the physician to determine the size, location and shape of any mass or tumor. CT scans can also distinguish between fluid and solid tissue.
Positron emission tomography (PET) scans identify patients who may benefit from surgery. The scan identifies tissues that are actively using glucose and measures the amount of this activity. Tumors and cancer cells use more glucose that normal tissue resulting in these areas becoming prominent on the PET scan.
BIOPSY
A patient with fluid in the abdomen or surrounding the abdomen a large bore needle is used at the biopsy site to obtain a specimen. Samples of the fluid are sent to the cytology and pathology laboratory to study malignant conditions. Microscopic appearance of the cells provides information as to the specific sub-type of mesothelioma such as epithelioid, sarcomatoid or a mixture of the two called biphasic.
A more invasive procedure is thoracoscopy in which the surgeon inserts a lighted scope with a camera through a small incision in the chest wall. This procedure permits the surgeon to obtain multiple biopsies and a broad look into the chest. The surgeon can now identify areas where the disease is located and if the lung is involved, diaphragm or attached to the sac surrounding the heart. Biopsies are sent to a pathologist for testing to confirm the diagnosis of mesothelioma. Mesothelioma is a rare disease and many oncologists and surgeons are not familiar with it. You should get a second opinion.
STAGING & TREATMENT
Staging is a medical term to describe the amount of disease found in the body. All decisions relating to the nature of treatment are made based on the stage of the disease. Mesothelioma typically affects many areas that line the chest, lungs and abdominal cavity. Lymph nodes, if affected are an important aspect of the staging process and can influence the decision to operate. If a lymph node is cancerous and operative it will be removed at the time of surgery.
A number of treatment options are available such as chemotherapy prior to surgical intervention to decrease the size of the tumor. The goal of surgery is to remove all visible evidence of the disease. Each patient is unique and your medical team should coordinate your treatment based on your diagnosis and prognosis.
CONCLUSION
Malignant mesothelioma is a form of cancer that is caused by exposure to asbestos that has a long latency period. A few sample high risk jobs are auto mechanics especially brake pad installation, carpenters, ship builders, roofers, boilermakers, oil and refinery workers and plumbers that involve some exposure to asbestos. Workers should bring any concerns regarding the safe handling of asbestos to their employers and union representatives.
Anyone who has been diagnosed with mesothelioma or any other asbestos related disease should explore their legal rights. A 30 billion dollar fund has been set aside to compensate workers and their families. Companies that manufactured, sold or used asbestos containing materials may be liable to employees and consumers for contracting this disease. In April 2018 a New Jersey jury returned a $37 million verdict in compensatory damages and $80 million in punitive damages against Johnson & Johnson. It was determined that talc baby powder contained asbestos.
On July 12, 2018 jurors in St. Louis, Missouri awarded plaintiffs represented by Texas lawyer Mark Lanier nearly $4.7 billion in damages in a product liability lawsuit. Plaintiffs claimed Johnson & Johnson baby powder contained asbestos that caused 22 women to get ovarian cancer. Jurors awarded $550 million in compensatory damages and $4.14 billion in punitive damages. Punitive damages are awarded to punish a defendant for gross negligence or unusually bad conduct.
In December 2018 Judge Rex Burlison of the 22ndCircuit Court in Missouri upheld the $4.7 billion verdict against Johnson & Johnson in Ingham, et al v. Johnson & Johnson. Judge Burlison found that the company knew of the presence of asbestos in their products. The company knowingly targeted for sale to mothers and babies and misrepresented the safety of these products for decades. This is the 6th largest products liability verdict in U. S. history.
There is evidence that many companies withheld internal corporate documents of the dangers of asbestos but did nothing to share that knowledge with the public. Some companies have been successfully sued for willfully withholding information with blatant disregard for human safety.
In an interesting aside On March 19, 2019 federal jurors in San Francisco found that Roundup weed killer was a substantial factor in causing the cancer of Edwin Hardemen a California man. Hardeman, age 70 sprayed the herbicide Roundup on his property for decades.4
About the Author
James A. Johnson of Southfield is an accomplished trial lawyer concentrating on serious Personal Injury, Insurance Coverage under the Commercial General Liability policy, Entertainment & Sports Law and Federal Crimes. Jim is an active member of the Michigan, Massachusetts, Texas and Federal Court Bars. He can be reached atwww.JamesAJohnsonEsq.com
ENDNOTES
- https://www.maacenter.org/mesothelioma, See Lanzo v. Imergys Talc America – a New Brunswick, New Jersey jury awarded the plaintiff $117 million in damages after developing mesothelioma from Johnson & Johnson Baby Power products.
- https://www.health.ny.gov/statistics/chac/general/g78.htm
- https://www.asbestos.com/states/texas
- https://www.sfchronicle.com/bayarea/article/monsanto-s-round-found-by-jury-to-be-likely-13701218.php
Helpful Asbestos Resources
Michigan-https://www.asbestos.com/states/michigan Michigan ranks 10thin U. S. for mesothelioma & asbestos deaths. (last visited 5-15-19).
Texas– https://www.asbestos.com/states/texas(last visited 5-15-19)
Connecticut-https://www.asbestos.com/states/connecticut (last visited 5-15-19)
Massachusetts-https://www.asbestos.com/states/massachusetts(last visited 5-15-19)
Outrageous Misconduct: The Asbestos Industry on Trial, Paul Brodeur, 1985
Fatal Deception: The Terrify True Story of How Asbestos is Killing America, Michael Bowker 2003.
An Air That Still Kills: How a Montana Town’s Asbestos Tragedy is Spreading Nationwide, Andrew Schneider and David McCumber 2016
American Cancer Society www.cancer.org
Meso Foundation www.curmeso.org
National Cancer Institute’s Malignant Mesothelioma Page www.cancer.gov/cancertopics/types/malignantmesothelioma
Pleural Mesothelioma Claims Center https://www.pleuralmesothelioma.com
The Environmental Working Group www.ewg.org
